症例集
Case症例集
Case
有山おとなこども歯科でインプラント治療を受けられた患者さまの症例写真をご紹介します。
骨が少ないなど難症例の方の治療も可能です。治療前後でどのよう変化するか、ぜひご参考ください。
※症例写真について
・すべて当院で治療を完了し、掲載の許可をいただいた患者さまのものです。
・トリミング(切り抜き)などを除き、画像の修正は行なっていません。
・治療はすべて各患者さま固有の症例に対応したものであり、ほかの方への治療結果を保証するものではありません。
症例➀:左下小臼歯欠損に対するインプラント治療を5週間で終えた症例
| 年齢 | 30代 | 性別 | 男性 |
|---|---|---|---|
| 治療期間・ 回数 |
5週間/3回 | 費用 | ¥440,000 (1次手術 ¥275,000 上部構造 ¥165,000) |
| 主訴 | う蝕によって左下小臼歯を失ったためインプラント治療を来院されました。 | ||
| 治療内容の 詳細 |
う蝕で失った小臼歯に代わって、顎の骨にインプラント(人工の歯の根)を埋め込む治療を行いました(1回法)。 その後、インプラントには人工の歯を被せることで機能面の回復を行う治療を行っています。 |
||
| 治療結果 | インプラントによって欠損した歯牙を補うことができ審美的、機能的な回復につながりました。 また治療期間も5週間と短縮することができ、治療中の患者様のQOLの低下も最低限にすることができました。 【補足】 今回の手術は1回法で行い、またインプラント本体と骨との結合が早いインプラント体を使用したため、治癒期間の短縮ができました。 |
||
| リスク・ 副作用 |
出血、腫張、疼痛、青痣、神経麻痺、補綴物の脱落、破折、インプラント体の破折、咬合違和感、インプラント周囲炎など | ||
症例②:大臼歯部1本欠損に対してインプラント治療を9週間で終えた症例
| 年齢 | 70代 | 性別 | 男性 |
|---|---|---|---|
| 治療期間・ 回数 |
2か月半(9週)/4回 | 費用 | ¥440,000 (一次手術 ¥275,000 上部構造 ¥165,000) |
| 主訴 | 左下大臼歯欠損に対してインプラント治療を希望されました。 | ||
| 治療内容の 詳細 |
欠損した左側臼歯に代わって、顎の骨にインプラント(人工の歯の根)を埋め込む治療を行いました。(1回法) 術後8週後上部構造の型取りを行いました。インプラントには人工の歯を被せることで機能面の回復を行う治療を行っています。 |
||
| 治療結果 | インプラント治療によって欠損した歯を補うことができ、審美面・機能面の回復に繋がりました。 | ||
| リスク・ 副作用 |
出血、腫張、疼痛、青痣、神経麻痺、補綴物の脱落、破折、インプラント体の破折、咬合違和感、インプラント周囲炎など | ||
症例③:多数歯欠損、歯列の乱れに対しての咬合再構成とインプラントによって治療した症例
| 年齢 | 70代 | 性別 | 男性 |
|---|---|---|---|
| 治療期間・ 回数 |
1年3か月 | 費用 | ¥5,885,000 (一次手術 ¥3,300,000 上部構造 ¥2,585,000) |
| 主訴 | 多数歯欠損の状態で義歯を使用していましたが、食べ物を噛めないためインプラント治療を希望され来院されました。 | ||
| 治療内容の 詳細 |
部分義歯を使用していましたが、歯列の乱れと義歯の適合不良を認めたため、まずは咬合再構成(かみ合わせの調整)のため義歯を作成しました。その後インプラントを入れる手術を行い、インプラント体の固定を確認後に土台と人口の歯を被せることで機能面の回復を行いました。 | ||
| 治療結果 | インプラント治療によって長年悩んでいた咀嚼障害が改善され、機能面の大きな回復に繋がりました。 | ||
| リスク・ 副作用 |
出血、腫張、疼痛、青痣、神経麻痺、補綴物の脱落、破折、インプラント体の破折、咬合違和感、インプラント周囲炎など | ||
症例④:奥歯2本欠損に対してインプラントと歯肉の移植を併用した症例
| 年齢 | 60代 | 性別 | 女性 |
|---|---|---|---|
| 治療期間・ 回数 |
6か月 | 費用 | ¥990,000 (1次手術 ¥550,000 歯肉移植手術 ¥110,000 上部構造 ¥330,000) |
| 主訴 | 右側臼歯部の複数歯欠損部へのインプラント治療を希望され来院されました。 | ||
| 治療内容の 詳細 |
左下に臼歯の欠損と歯肉の不足を認めました。インプラントを入れる手術と同時に足りない歯肉を補うために歯肉移植手術を併用して行いました。手術後8週間でインプラントの土台と仮歯を入れました。その後仮歯で歯肉の治癒を待った後にセラミックのかぶせものを被せることにより機能面の回復を行いました。 | ||
| 治療結果 | インプラント治療によって欠損した歯を補うことができ、歯肉の移植によってメンテナンスしやすい環境作りに繋がり、審美面・機能面の回復を行うことができました。 | ||
| リスク・ 副作用 |
出血、腫張、疼痛、青痣、神経麻痺、補綴物の脱落、破折、インプラント体の破折、咬合違和感、インプラント周囲炎など | ||
症例⑤上顎に対してインプラントオーバーデンチャーで補綴を行った症例
| 年齢 | 70代 | 性別 | 女性 |
|---|---|---|---|
| 治療期間・ 回数 |
8か月 | 費用 | ¥1,265,000 |
| 主訴 | 上あごの左右で入れ歯を支えていた歯が抜けてしまい、入れ歯で噛むことができなくなったため、ご相談に来院されました。また、上あごに残っている歯も重度の歯周炎が進行しており、保存が困難な状態でした。 | ||
| 治療内容の詳細 | 重度の歯周炎によって保存が困難となった歯を抜歯し、代わりに顎の骨にインプラント(人工の歯の根)を埋め込む治療を行いました。その後、インプラントにはロケーターアバットメントという入れ歯を固定するための専用パーツを装着し、総入れ歯を安定させることで機能回復を図りました。 | ||
| 治療結果 | インプラント治療により入れ歯が安定し、しっかりと噛めるようになりました。また、審美面・機能面ともに改善され、快適に食事や会話ができるようになりました。 | ||
| リスク・ 副作用 |
出血、腫張、疼痛、青痣、神経麻痺、補綴物の脱落、破折、インプラント体の破折、咬合違和感、インプラント周囲炎など | ||
症例⑥上顎第一臼歯の欠損に対し、骨移植材を使用せず8週で完了したインプラント治療症例(上顎洞までの垂直骨量が少ないケース)
| 年齢 | 60代 | 性別 | 女性 |
|---|---|---|---|
| 治療期間・ 回数 |
2か月(8週)・4回 | 費用 | ¥440,000 |
| 主訴 | 上あごの第一大臼歯にて、歯冠および歯根の破折が確認され、保存が困難な状態となっていました。 強い咬合力がかかる部位であったため、抜歯後の咀嚼能力の低下を心配され、インプラント治療をご希望されました。 | ||
| 治療内容の詳細 | 歯冠・歯根破折により保存が不可能となった第一大臼歯を抜歯し、その後にインプラントの埋入を行いました。 本症例では、上顎洞までの骨の高さが約4mmと非常に限られていたため、通常であれば骨補填材を用いた治療が検討されるケースです。 しかし今回は、骨補填材切使を用せず、専用のドリル(デンサーバー)によって患者さま自身の骨を圧縮・移動させることで上顎洞粘膜を安全に挙上し、インプラントを埋入しました。 このアプローチにより、術後の腫れや痛みを最小限に抑えつつ、十分な初期固定を得ることができました | ||
| 治療結果 | インプラント治療により、咬合機能の回復とともに、しっかりと噛める状態を実現することができました。 また、自家骨を用いた上顎洞の挙上(ソケットリフト)により、治療期間の短縮・手術の侵襲の軽減・感染リスクの低下といった多くの利点が得られました。 骨補填材を使用しないシンプルなアプローチで、患者さまの身体的負担を抑えつつ、良好な治療結果が得られた症例です。 | ||
| リスク・ 副作用 |
出血、腫張、疼痛、青痣、神経麻痺、インプラント体の破折、補綴物の脱落・破折、咬合違和感、インプラント周囲炎、上顎洞への穿孔などの可能性があります。 | ||
症例⑦右下5番の欠損に対し、少量の骨造成を併用して行ったインプラント治療症例
| 年齢 | 70代 | 性別 | 男性 |
|---|---|---|---|
| 治療期間・ 回数 |
7週間/4回 | 費用 | ¥440,000 |
| 主訴 | 右下第2小臼歯にて歯根破折が認められ、保存が困難な状態でした。抜歯後、咀嚼機能の回復と将来的な安定性を考慮し、インプラント治療をご希望されました。 | ||
| 治療内容の詳細 | 右下第2小臼歯を抜歯後、インプラントの埋入を行いました。埋入部位の骨幅がやや不足していたため、埋入と同時に少量の骨造成を併用しました。 同時造成により治癒期間の短縮が可能となりました。 | ||
| 治療結果 | インプラント埋入と同時の骨造成により、良好な初期固定を得ることができ、治療期間を約7週間に短縮することができました。 咬合機能の回復とともに、審美的にも自然な仕上がりを実現し、患者さまにも大変ご満足いただけました。 骨造成を併用しつつもシンプルな治療工程で、身体的・時間的負担を最小限に抑えられた症例です。 | ||
| リスク・ 副作用 |
出血、腫張、疼痛、青痣、神経麻痺、インプラント体の破折、補綴物の脱落・破折、咬合違和感、インプラント周囲炎などの可能性があります。 | ||
症例⑧下顎左右ブリッジの動揺により抜歯後、インプラントブリッジで補綴を行った症例(80代)
| 年齢 | 80代 | 性別 | 男性 |
|---|---|---|---|
| 治療期間・ 回数 |
4か月 | 費用 | ¥1,980,000 |
| 主訴 | 下顎両側のブリッジに動揺が認められ、十分に咬むことができない状態でした。抜歯後の咀嚼機能の回復と長期的な安定を希望され、インプラント治療を選択されました。 | ||
| 治療内容の詳細 | 下顎左右ブリッジを抜歯後、粘膜の治癒を待って早期にインプラント埋入を行いました。十分な初期固定が得られたため、すべての部位で1回法にて処置を行いました。 | ||
| 治療結果 | 左右ともに良好な初期固定が得られたため、1回法での治療が可能となり、治療期間を短縮することができました。インプラントブリッジにより咬合機能が回復した。高齢でありましたが、複雑な骨造成を伴わずにシンプルな治療工程で進められたため、身体的・時間的な負担も少ない症例となりました。 | ||
| リスク・ 副作用 |
出血、腫張、疼痛、青痣、神経麻痺、インプラント体の破折、補綴物の脱落・破折、咬合違和感、インプラント周囲炎などの可能性があります。 | ||
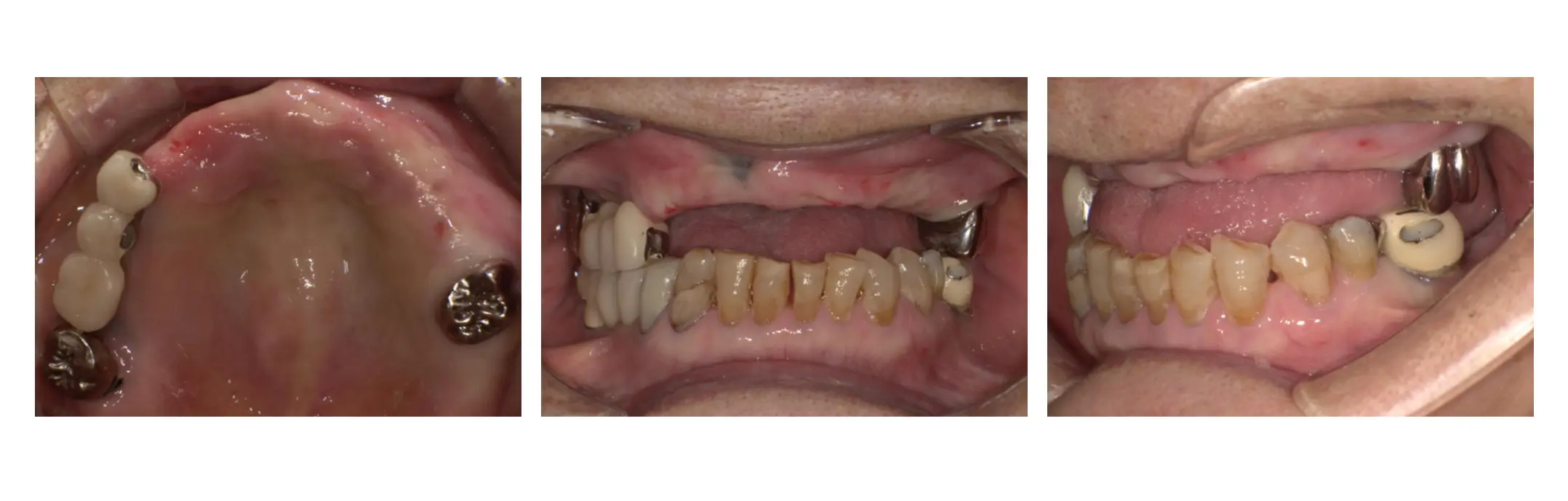
症例⑨左下小臼歯の歯根破折に対してインプラント補綴を行った症例(80代)
| 年齢 | 80代 | 性別 | 女性 |
|---|---|---|---|
| 治療期間・ 回数 |
8か月(32週)・5回 | 費用 | ¥440,000 |
| 主訴 | 上あごの第一大臼歯にて、歯冠および歯根の破折が確認され、保存が困難な状態となっていました。強い咬合力がかかる部位であったため、抜歯後の咀嚼能力の低下を心配され、インプラント治療をご希望されました。 | ||
| 治療内容の詳細 | 左下の歯は歯根が割れて感染を起こしていたため、残すことができず抜歯を行いました。インプラント治療を行う予定でしたが、骨の量が不足していたため、抜歯後すぐの手術は避けました。大きな骨造成手術は体への負担が大きいため行わず、半年間しっかり骨が治るのを待ってからインプラントを埋入しました。治療時には十分な安定が得られたため、1回の手術で歯ぐきを閉じない「1回法」で進めました。 | ||
| 治療結果 | 治療期間は半年以上かかりましたが、体への負担をできるだけ少なく進めることができました。最終的にはしっかり噛めるようになり、見た目も自然に回復しました。患者さまにもご満足いただけました。 | ||
| リスク・ 副作用 |
出血、腫張、疼痛、青痣、神経麻痺、インプラント体の破折、補綴物の脱落・破折、咬合違和感、インプラント周囲炎などの可能性があります。 | ||
症例⑩上顎多数歯欠損に対してインプラント補綴を行った症例(80代・女性)
| 年齢 | 80代 | 性別 | 女性 |
|---|---|---|---|
| 治療期間・ 回数 |
5か月半 | 費用 | ¥2,200,000 |
| 主訴 | 上顎の多数歯欠損に対して部分床義歯を使用していましたが、装着時に口腔内が狭く感じられ、舌に当たる違和感や異物感が強く、十分な咀嚼が困難な状態でした。そのため、義歯ではなくインプラントによる補綴を強く希望されました。 | ||
| 治療内容の詳細 | 上顎の欠損部に対して、4本のインプラントを埋入しました。いずれの部位も初期固定が良好であったため、1回法で手術を行いました。埋入後6週間で再度固定状態を測定したところ、良好な安定が得られたため印象採得を実施し、仮歯を装着しました。仮歯で咬合状態や審美性を確認・調整し、問題がないことを確認した上で、最終的にインプラントブリッジ(2ピースタイプ)で補綴を行いました。 | ||
| 治療結果 | 多数歯の欠損に対する治療でしたが、体への負担を最小限に抑えながら進めることができました。治療期間は約半年以内で、咬合機能と審美性の両面で良好な結果が得られました。治療後は、これまで噛みにくかったバゲットなどの硬い食べ物も問題なく食べられるようになり、患者さまにも大変ご満足いただけました。 | ||
| リスク・ 副作用 |
出血、腫張、疼痛、青痣、神経麻痺、インプラント体の破折、補綴物の脱落・破折、咬合違和感、インプラント周囲炎などの可能性があります。 | ||